03-3585-0081
WEB予約
無料メール相談
公式LINE
ホーム
治療メニュー
症例紹介
当院のご紹介
院長・スタッフ紹介
設備紹介
診療時間・アクセス
Menu
診療時間・アクセス
公式LINE
電話する
お問い合わせ
歯科治療例
医院案内
コンセプト・理念
ビジネスマンや経営者の方へ
モデル・芸能関係の方へ
アスリートの方へ
患者様へのおもてなし
院長・スタッフ紹介
院内紹介
設備紹介
院内技工
治療メニュー
インプラント
審美メニュー
-審美(エステティック)
-オールセラミック
-ヴィーナスベニア
-ホワイトニング
矯正歯科メニュー
-矯正歯科
-小児矯正
-成人矯正(ワイヤー矯正)
-マウスピース型矯正
-部分矯正
歯周病
オーダーメイド歯科
噛み合わせ
ボトックス
予防治療メニュー
-予防治療
-歯科ドック
-歯石取り・クリーニング
痛みの少ないレーザー
虫歯
口腔外科
小児歯科
料金表メニュー
費用・料金表
詰め物・被せ物
矯正歯科
インプラント
ホワイトニング
治療例
治療例一覧
インプラント
矯正歯科
審美歯科
採用情報
Recruit
症例集
Case
院内ブログ
Blog
サイトマップ
院内ブログ
Blog
ホーム
>
院内ブログ
院内ブログ
カテゴリ|全て
ブログTOPへ戻る
インプラント|歯科治療例
歯科衛生士の業務
お知らせ
歯科治療例
今週のお花
矯正歯科|歯科治療例
審美治療|歯科治療例
感染予防対策【コロナ等】
設備・機材
院内新聞
活動報告
メディア出演・掲載
コンシェルジュ日誌
歯科技工士の業務
2026.02.25
お知らせ
出会いの季節に備える審美ケア 2026.02.25
【セレブに選ばれるセラミック治療】 皆様こんにちは。 コンシェルジュの早川です。 出会いの季節に備える審美ケアについてです🌸 人の第一印象は、出会って数秒で決まると言われています。 その中でも大きな影響を与えるのが「口元」です。 会話をする…
続きを読む
2026.02.24
お知らせ
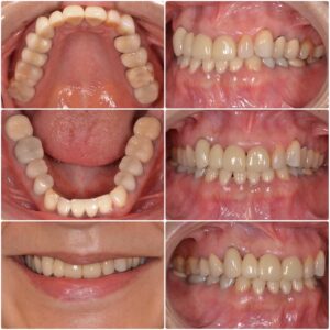
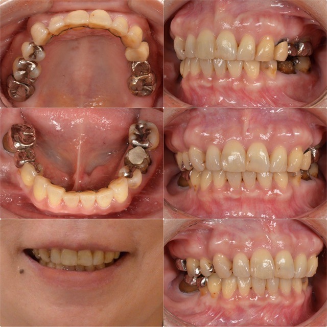
セラミック治療希望 20代男性 2026.2.24
主訴・術前 オールセラミック希望 術後の患者様の感想 忙しく、なかなか通えていませんでしたが、とても丁寧に治療をしてくださり満足しています。 また、院長先生やスタッフの皆様が優しく対応してくださり助かりましたありがとうご…
続きを読む
2026.02.19
お知らせ
カカオポリフェノールと虫歯の関係 2026.02.19
【セレブに選ばれるセラミック治療】 皆様こんにちは。 コンシェルジュの早川です。 〜歯科の豆知識〜 本日は、前回に続きカカオポリフェノールと虫歯の関係についてです🦷🍫 実は、カカオに含まれるカカオポリフェノールに…
続きを読む
2026.02.18
お知らせ
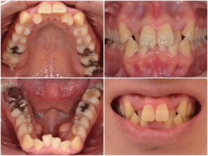
歯並びを綺麗にしたい 30代男性 2026.2.18
主訴・術前 歯並びを治したい 術後の患者様の感想 長年、歯並びにコンプレックスがあり笑うのに抵抗がありました。 矯正治療は諦めていましたが、こちらでは歯を抜かずに3年という早さでここまで綺麗に治療していただけて本当に感謝…
続きを読む
2026.02.06
お知らせ
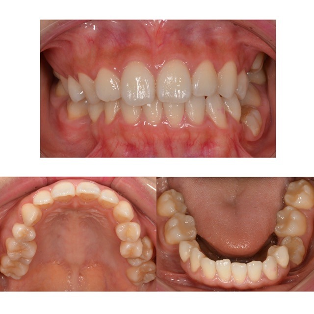
前歯部の歯並びが気になる 60代女性 2026.2.6
主訴・術前 前歯部の歯並びが気になる 術後の患者様の感想 マウスピース矯正やセラミック矯正を行って自分の納得のいく歯並びになることができたので良かったです。 マウスピースに関しては、続けられるか不安でしたが続けることができ、…
続きを読む
4 / 168
«
前へ
...
2
3
4
5
6
...
10
20
30
...
次へ
»