03-3585-0081
WEB予約
無料メール相談
公式LINE
ホーム
治療メニュー
症例紹介
当院のご紹介
院長・スタッフ紹介
設備紹介
診療時間・アクセス
Menu
診療時間・アクセス
公式LINE
電話する
お問い合わせ
歯科治療例
医院案内
コンセプト・理念
ビジネスマンや経営者の方へ
モデル・芸能関係の方へ
アスリートの方へ
患者様へのおもてなし
院長・スタッフ紹介
院内紹介
設備紹介
院内技工
治療メニュー
インプラント
審美メニュー
-審美(エステティック)
-オールセラミック
-ホワイトニング
矯正歯科メニュー
-矯正歯科
-小児矯正
-成人矯正(ワイヤー矯正)
-マウスピース型矯正
-部分矯正
歯周病
オーダーメイド歯科
噛み合わせ
ボトックス
予防治療メニュー
-予防治療
-歯科ドック
-歯石取り・クリーニング
痛みの少ないレーザー
虫歯
口腔外科
小児歯科
料金表メニュー
費用・料金表
詰め物・被せ物
矯正歯科
インプラント
ホワイトニング
治療例
治療例一覧
インプラント
矯正歯科
審美歯科
採用情報
Recruit
症例集
Case
院内ブログ
Blog
サイトマップ
院内ブログ
Blog
ホーム
>
院内ブログ
院内ブログ
カテゴリ|全て
ブログTOPへ戻る
インプラント|歯科治療例
歯科衛生士の業務
お知らせ
歯科治療例
今週のお花
矯正歯科|歯科治療例
審美治療|歯科治療例
感染予防対策【コロナ等】
設備・機材
院内新聞
活動報告
メディア出演・掲載
コンシェルジュ日誌
歯科技工士の業務
2025.11.28
お知らせ
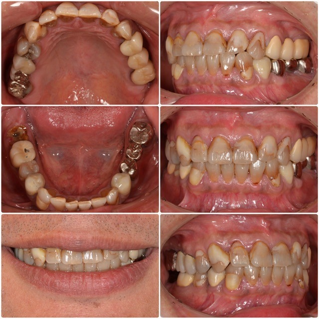
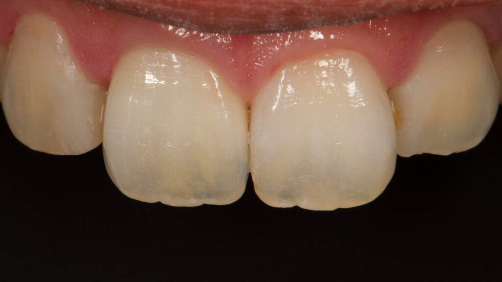
悪いところを全て治したい 60代女性 2025.11.28
主訴・術前 悪い所をすべて治したい。 術後の患者様の感想 悪い所はすべて一気に治療していただき、金属を除去したことでお口も体も軽くなって、治療して良かったと本当に思います。 今の状態を維持できるよう、メンテナンスを頑張り…
続きを読む
2025.11.27
お知らせ
年末前ケア 2025.11.27
皆様こんにちは。 コンシェルジュの早川です。 11月も終わりに近づき、いよいよ一年の締めくくりが見えてきました。 この時期は気温が下がり乾燥も進むことで、お口の中の環境も変化しやすくなります。 特に、唾液量が減り口が乾きやすい、歯ぐきが腫れ…
続きを読む
2025.11.21
お知らせ
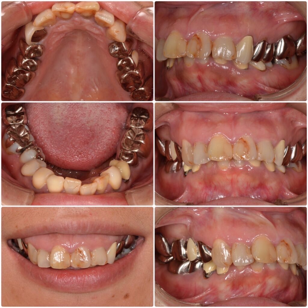
歯並びを改善したい2025.11.21
主訴・術前 歯並びを改善したい 術後の患者様の感想 気になっていた歯並びを改善することができたのでとても満足しています。 銀歯が多く、そこも気になっていましたがセラミックにできたので銀歯の存在も気にすることなく過ごすことができています。 食…
続きを読む
2025.11.20
お知らせ
お口の健診(後期)2025.11.20
皆様、こんにちは。 コンシェルジュの早川です。 11月から「お口の健診(後期)」が始まりました🦷 一年の締めくくりとして、この機会にぜひお口の中を見直してみませんか? 気づかないうちに進んでしまうむし歯や歯周病、詰め物の劣化、噛み合わせの変…
続きを読む
2025.11.06
お知らせ
【インビザライン】未承認機器の使用について
未承認医薬品等の使用・国内の承認医薬品等の有無について (未承認医薬品等の使用)赤坂ヴィーナスデンタルクリニックで使用していますマウスピース型カスタムメイド矯正装置(製品名:インビザライン®)は、日本国薬機法上の医療機器として認証・承認を得…
続きを読む
5 / 165
«
前へ
...
3
4
5
6
7
...
10
20
30
...
次へ
»