03-3585-0081
WEB予約
無料メール相談
公式LINE
ホーム
治療メニュー
症例紹介
当院のご紹介
院長・スタッフ紹介
設備紹介
診療時間・アクセス
Menu
診療時間・アクセス
公式LINE
電話する
お問い合わせ
歯科治療例
医院案内
コンセプト・理念
ビジネスマンや経営者の方へ
モデル・芸能関係の方へ
アスリートの方へ
患者様へのおもてなし
院長・スタッフ紹介
院内紹介
設備紹介
院内技工
治療メニュー
インプラント
審美メニュー
-審美(エステティック)
-オールセラミック
-ヴィーナスベニア
-ホワイトニング
矯正歯科メニュー
-矯正歯科
-小児矯正
-成人矯正(ワイヤー矯正)
-マウスピース型矯正
-部分矯正
歯周病
オーダーメイド歯科
噛み合わせ
ボトックス
予防治療メニュー
-予防治療
-歯科ドック
-歯石取り・クリーニング
痛みの少ないレーザー
虫歯
口腔外科
小児歯科
料金表メニュー
費用・料金表
詰め物・被せ物
矯正歯科
インプラント
ホワイトニング
治療例
治療例一覧
インプラント
矯正歯科
審美歯科
採用情報
Recruit
症例集
Case
院内ブログ
Blog
サイトマップ
院内ブログ
Blog
ホーム
>
院内ブログ
院内ブログ
カテゴリ|全て
ブログTOPへ戻る
インプラント|歯科治療例
歯科衛生士の業務
お知らせ
歯科治療例
今週のお花
矯正歯科|歯科治療例
審美治療|歯科治療例
感染予防対策【コロナ等】
設備・機材
院内新聞
活動報告
メディア出演・掲載
コンシェルジュ日誌
歯科技工士の業務
2026.03.25
お知らせ
仮歯について 2026.03.25
【富裕層に選ばれるセラミック治療】 皆様、こんにちは。 コンシェルジュの早川です。 本日は仮歯についてです🦷 仮歯のまま放置していませんか? とりあえず仮歯だから大丈夫、 そう思ってそのままにしてしまっている方、意外と多いです。 ですが、仮…
続きを読む
2026.03.23
お知らせ
歯科用CADシステム「exocad」
当院では、最新の歯科用CADソフト「exocad(エグゾキャド)」を導入し、 デジタル技術を活用した精度の高い補綴治療を提供しています。 exocadは、クラウン・ブリッジ・インプラント・義歯・矯正など、 幅広い治療に対応する歯科専用の設計…
続きを読む
2026.03.19
お知らせ
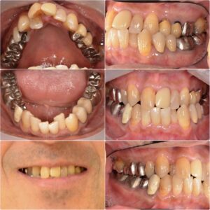
セラミック治療 60代男性 2026.3.19
主訴・術前 セラミック希望 術後の患者様の感想 歯を白く綺麗にしたくてこちらに伺いました。 短期間で治療をしていただき、無理なく通うことができました。 今後もメンテナンスでお世話になりたいと思います。 治療情…
続きを読む
2026.03.18
お知らせ
白い歯にするならセラミックという選択 2026.03.18
【セレブに選ばれるセラミック治療】 皆様こんにちは。 コンシェルジュの早川です。 〜白い歯にするならセラミックという選択〜 ホワイトニングで満足できない方へ セラミックという選択肢をおすすめします🦷✨ ただ白いだけじゃない本当に美しい歯を手…
続きを読む
2026.03.13
お知らせ
将来的な治療をしたい 40代女性 2026.3.13
主訴・術前 転倒してしまい将来的な治療をしたい 術後の患者様の感想 転倒して前歯がなく不安だらけでしたが先生をはじめスタッフの方々がサポートしていただいたおかげで不安もどんどんなくなり安心して治療を受けることができました…
続きを読む
2 / 168
前へ
1
2
3
4
5
...
10
20
30
...
次へ
»