03-3585-0081
WEB予約
無料メール相談
公式LINE
ホーム
治療メニュー
症例紹介
当院のご紹介
院長・スタッフ紹介
設備紹介
診療時間・アクセス
Menu
診療時間・アクセス
公式LINE
電話する
お問い合わせ
歯科治療例
医院案内
コンセプト・理念
ビジネスマンや経営者の方へ
モデル・芸能関係の方へ
アスリートの方へ
患者様へのおもてなし
院長・スタッフ紹介
院内紹介
設備紹介
院内技工
治療メニュー
インプラント
審美メニュー
-審美(エステティック)
-オールセラミック
-ヴィーナスベニア
-ホワイトニング
矯正歯科メニュー
-矯正歯科
-小児矯正
-成人矯正(ワイヤー矯正)
-マウスピース型矯正
-部分矯正
歯周病
オーダーメイド歯科
噛み合わせ
ボトックス
予防治療メニュー
-予防治療
-歯科ドック
-歯石取り・クリーニング
痛みの少ないレーザー
虫歯
口腔外科
小児歯科
料金表メニュー
費用・料金表
詰め物・被せ物
矯正歯科
インプラント
ホワイトニング
治療例
治療例一覧
インプラント
矯正歯科
審美歯科
採用情報
Recruit
症例集
Case
院内ブログ
Blog
サイトマップ
院内ブログ
Blog
ホーム
>
院内ブログ
院内ブログ
カテゴリ|全て
ブログTOPへ戻る
インプラント|歯科治療例
歯科衛生士の業務
お知らせ
歯科治療例
今週のお花
矯正歯科|歯科治療例
審美治療|歯科治療例
感染予防対策【コロナ等】
設備・機材
院内新聞
活動報告
メディア出演・掲載
コンシェルジュ日誌
歯科技工士の業務
2024.11.20
お知らせ
デンタルフロス必須 2024.11.20
皆様こんばんは。コンシェルジュの早川です。 本格的に冬がやってまいりましたね🧣❄️皆様はいかがお過ごしでしょうか。 さて本日は、デンタルフロスについてです。まずデンタルフロスの主な役割は、歯と歯の…
続きを読む
2024.11.20
お知らせ
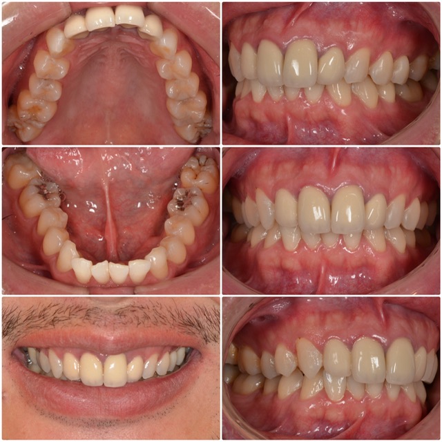
上顎10本セラミックにしたい 30代男性 2024.11.20
主訴・術前 上顎を10本セラミックにしたい 術後の患者様の感想 以前、前歯に入れたセラミックの中の金属が変色していたのが気になっていましたが、こちらでオールセラミックに入れ替えて綺麗になりとても嬉しいです。 また、海外から一時帰国中での治療…
続きを読む
2024.11.19
お知らせ
歯並びを治したい 10代女性 2024.11.19
主訴・術前 歯並びを治したい 術後の患者様の感想 綺麗な歯並びになって嬉しいです。 舌癖について先生から何度も指導していただき、いつも頑張っています。今後も綺麗な歯並びを保てるよう、舌癖に気をつけ努力したいと思います。 治療情報 主訴 歯並…
続きを読む
2024.11.18
歯科技工士の業務
矯正シミュレーションを行いました。2024.11.18
赤坂ヴィーナスデンタルクリニック歯科技工士の井上です。 本日は歯並びで悩まれている方の診断模型を作りました! 歯型から石膏模型を作り、一歯づつ切り分けて理想的な歯並びに並べ替えます。 細かな計測とレントゲン写真などを考慮しながら歯科矯正医と…
続きを読む
2024.11.15
お知らせ
他院で治療途中の箇所を治したい2024.11.15
主訴・術前 他院で治療途中の箇所を治したい 術後の患者様の感想 他院で治療途中になってしまった箇所をこちらのクリニックで綺麗に治していただき、大変満足しています。全顎的な治療にも関わらず短期間で治療が終了したので、良かったです。 治療情報 …
続きを読む
41 / 168
«
前へ
...
10
20
30
...
39
40
41
42
43
...
50
60
70
...
次へ
»